おおだち歯科医院のソケットリフト術【症例6】
66歳(当時)男性 右上6番
CT画像 1
埋入予定の骨を側面(頬側)から見たCT画像
平成24年3月 手術直前のCT画像
上顎洞底の骨の厚さが右上6番で最低1,5mm程度
CT画像2
右上6番、埋入予定の骨を後側から見たCT画像
CT画像3
右上6番埋入予定の骨を後側から見たCT
レントゲン画像1
平成24年3月30日の手術直後のレントゲン画像
オオダチメソッド(スパーソケットリフトにて)上顎洞下底の粘膜が持ち上げられている
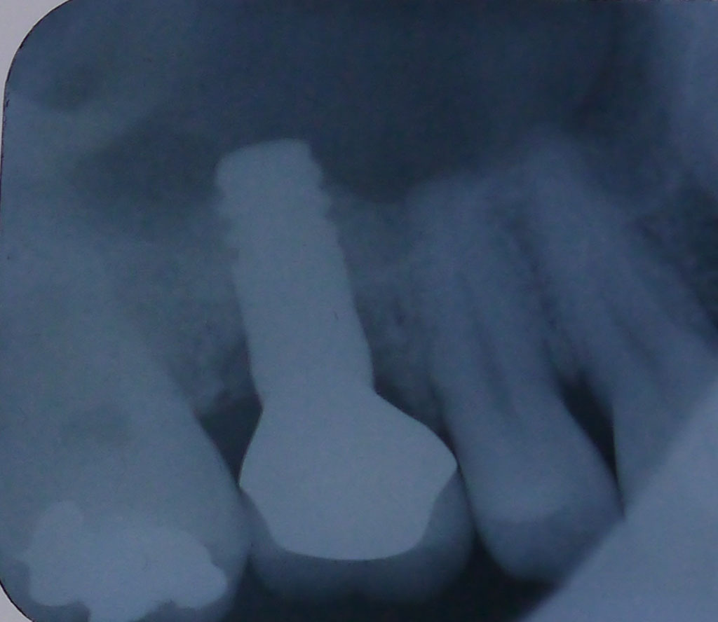
レントゲン画像2
平成24年8月17日、4ヶ月半後のレントゲン画像 だいぶ骨が出来ている
レントゲン画像3
平成29年12月6日、5年経過後の定期検診時のレントゲン画像
右上6番、インプラントの先端近くまで骨があり、十分機能している
→ おおだち歯科医院のソケットリフト法1 へ戻る
CT画像 1
埋入予定の骨を側面(頬側)から見たCT画像
平成24年3月 手術直前のCT画像
上顎洞底の骨の厚さが右上6番で最低1,5mm程度
CT画像2
右上6番、埋入予定の骨を後側から見たCT画像
CT画像3
右上6番埋入予定の骨を後側から見たCT
レントゲン画像1
平成24年3月30日の手術直後のレントゲン画像
オオダチメソッド(スパーソケットリフトにて)上顎洞下底の粘膜が持ち上げられている
レントゲン画像2
平成24年8月17日、4ヶ月半後のレントゲン画像 だいぶ骨が出来ている
レントゲン画像3
平成29年12月6日、5年経過後の定期検診時のレントゲン画像
右上6番、インプラントの先端近くまで骨があり、十分機能している
→ おおだち歯科医院のソケットリフト法1 へ戻る