症例4

症例4 上顎奥歯 サイナスリフトを伴う症例 2

年齢56歳 女性 
初診時のご希望
・左右上の奥歯がないのですが義歯は絶対に使いたくない
・以前大学病院で診察してもらったが、10から12ヶ月の期間と3回から4回の手術をしなければならないことと、手術料が大変高額でしたので断念した
・左上奥歯(エックス線写真では右の上となります)が終わったら右上もインプラントをしたい

術前エックス線写真と口腔内写真


この方も上顎洞の下縁の骨が1~3ミリ程度しかなくソケットリフトでは不可能なのでサイナスリ フトの選択となる

術前の口腔内写真

術後の固定


・骨が薄いので埋入手術後3本のインプラント体をスーパーボンドで固定
・再結晶化HAコーティング施されたインプラントフィクスチャーを使用したため自家骨の移植や人 工骨の添加を行わないで直接埋入

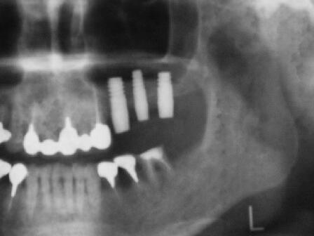
インプラント埋入2ヵ月後のエックス線写真と口腔内写真


インプラント体(フィクスチャー)の周りに骨が出来始めている

2ヵ月後の口腔内写真

4ヵ月後のエックス線写真


4ヶ月して、当初1~3ミリしか存在しなっかた骨が7~12ミリ程度(部位によって違う)になる

4ヵ月後に最終かぶせ物をしてメンテナンスへ


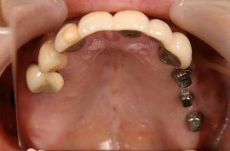
予定通り4ヶ月で最終かぶせ物(メタルボンドポーセレン)を装着
この症例も十分咬合に耐える、しっかりした骨が形成されています
 
・症例2同様、この新しいインプラントでは今までのインプラントのように複雑で、長い期間を必要 とする上顎洞への自家骨移植、人工骨添加は必要ないことがお分かりと思います

最終かぶせ物(メタルボンドポーセレン)を装着した口腔内写真
このあと右上上顎(上の写真では左の上となります)のインプラントを予定している

 

この症例を施術した場合の料金

CT撮影料を含む診断料 10,000円
当院指定のAQBインプラント ワンピース3本使用(上顎)
メタルボンドポーセレン3本(100,000+80,000)×3=540,000円
手術加算 サイナスリフト手術(骨移植、骨添加なし) 200,000円
  小合計 750,000円 消費税 37,500円
                              合計 787,500円