症例2

症例2 上顎奥歯 サイナスリフトを伴う症例

年齢50歳 女性
初診時のご希望
・左上(写真では右の上となります)の奥歯がないのですが義歯は使いたくない
・他院では骨があまりにも薄いのでインプラントはできないと断られた
・奥歯が終わったら前歯も壊れそうなので抜いてインプラントにしたい

術前エックス線写真


上顎洞の下縁の骨が1~3ミリ程度しかなくソケットリフトでは不可能なのでサイナスリフトの選 択となる

インプラント埋入手術直後のエックス線写真


・骨が薄いので埋入手術後4本のインプラント体をスーパーボンドで固定
・再結晶化HAコーティング施されたインプラント フィクスチャーを使用したため自家骨の移植や 人工骨の添加を行わないで直接埋入

4ヵ月後に最終かぶせ物をしてメンテナンスへ


4ヶ月して、当初1~3ミリしか存在しなっかた骨が7~12ミリ程度(部位によって違う)になり 予定通り最終かぶせ物(メタルボンドポーセレン)を装着

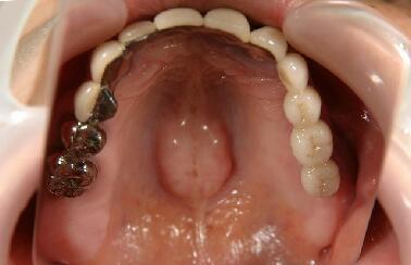
左上(写真では右の上となります)に最終かぶせ物(メタルボンドポーセレン)を装着

8ヵ月後のエックス線写真


(注)上のエックス線写真の一番左に見える5本目、前歯部位のインプラントは奥歯の完成後、 埋入手術を行ったものです
・全体の写るエックス線写真よりこの小さなエックス線写真で見ほうが骨の出来方が良く分かる と思います。十分咬合に耐える、しっかりした骨が形成されています
・この新しいインプラントでは今までのインプラントのように複雑で、長い期間を必要とする上顎 洞への自家骨移植、人工骨添加は必要ないことがお分かりと思います

この症例を施術した場合の料金

CT撮影料を含む診断料 10,000円
当院指定のAQBインプラント ワンピース4本使用(上顎) メタルボンドポーセレン4本
(100,000+80,000)×4=720,000円手術加算 

サイナスリフト手術(骨移植、骨添加なし) 200,000円
 小合計 930,000円 消費税 46,500円
                                 合計 976,500円